This time, we were able to concentrate on Beanie and he/she is doing great! From what we can tell, everything looks right on target. Strong, regular heartbeat (163) and measuring perfectly on schedule.
Andie's sack is noticeably smaller and seems to be disappearing without incident, which is great news. I have had no spotting and hardly any cramping.
That is what we know for now. I will know more after our next appointment with Dr M on Thursday. He will look at the pictures and interpret them for us. Hopefully, all is well.
I promised myself if everything looked good at this appointment, I would try to relax and really enjoy the pregnancy. I am so unbelievably grateful for this blessing; there are NO words. Constant thanks and gratitude fills most thoughts and every prayer through out my day.
I have a definite appreciation for how fragile life is, and I fear the moment I relax and fully take this in is the pregnancy things will go wrong. I am working on letting that go and living in the moment.
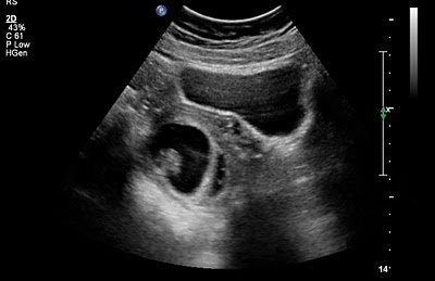
So without further delay... Beanie at 9 weeks!

You can see Andie's small little sack fading away to the right of Beanie's.


2 comments:
Oh I am SO excited at your wonderful news!!! I know it's hard (believe me I know) but do please to try to relax and enjoy this pregnancy!! If it helps, my doctor told me that once a woman is past 8 weeks, she only has a 3% chance of miscarrying. Also....163 is SUPER FANTASTIC for a heartbeat. My bet by that number that it's a girl! :0) I hope I'm not seeming too personal...I just become SO bloomin' excited when I finally see a triumph and a miracle happening!!! Congrats again!!!
if you think there are NO WORDS to describe your gratefulness, just wait! imagine that feeling times a BILLION and it STILL won't even compare to how you're going to feel when beanie is born!
i still don't have words!
and i can't even count how many times i just sobbed and sobbed in gratitude to heavenly father for our little girls. it's amazing. humbling, wonderful, fabulous, incredible. just you wait! it'll only get SO much better! :)
Post a Comment